7012-2006
info@zurkh.mn
Нүүр
Эрүүл амьдрал
Эрүүл Ажлын байр
Шим тэжээлийн боловсрол
Архины хэрэглээ
Таргалалт
Стресс
Тамхидалт
Эрүүл хооллолт
Давсны хэрэглээ
Транс тос
Дасгал хөдөлгөөн
Зүрх судасны өвчин
Цусны даралт ихсэлт
Зүрхний шигдээс
Тархины харвалт
Зүрхний хэм алдалт
Чихрийн шижин
Мэдээ
Эрүүл зүрх – Эрүүл Монгол
MayMeasureMonth
MMM21
Холбоо барих
Д ВИТАМИНЫ ИХСЭЛТ НЬ ЗҮРХ СУДАСНЫ ӨВЧНӨӨС ШАЛТГААЛСАН НАС БАРАЛТЫГ НЭМЭГДҮҮЛДЭГ
Гадаах орчны хэт халалт тархины харвалтанд хүргэх эрсдэлтэй
Бага тархины цус харвалт гэж юу вэ? Сэргээн засах эмчилгээний талаар
Харвалтыг хэрхэн оношлох вэ?
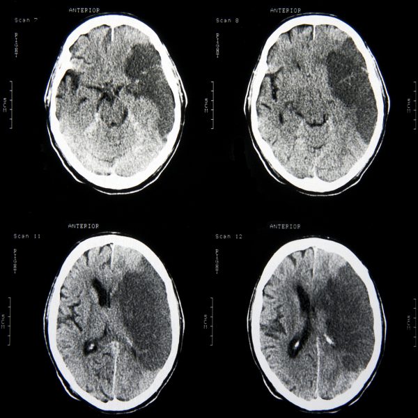
Тархины цус харвалт гэж юу вэ?
Menu